Aparelho de ressonância mais potente do mundo revela imagens inéditas do cérebro humano
Imagem do Iseult com um campo magnético de 11,7 teslas. — Foto: Reprodução/Comissão de Energia Atômica da França (CEA)
De acordo com os responsáveis pelo projeto, o scanner atingiu um nível de precisão jamais visto. Máquina pode ser decisiva para detectar doenças.
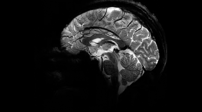
A Comissão de Energia Atômica da França (CEA) divulgou nesta terça-feira (2) as primeiras imagens do cérebro humano feitas pelo aparelho de ressonância magnética mais potente do mundo. De acordo com os responsáveis pelo projeto, o scanner atingiu um nível de precisão jamais visto, algo que pode ser decisivo para detectar doenças.
Os pesquisadores utilizaram pela primeira vez a máquina para escanear uma abóbora em 2021. Recentemente, as autoridades sanitárias autorizaram o uso do aparelho em humanos.
Nos últimos meses, cerca de 20 voluntários saudáveis se ofereceram para que seus cérebros fossem escaneados. A máquina fica em um laboratório em Saclay, cidade ao sul de Paris.
“Vimos um nível de precisão nunca antes alcançado no CEA”, disse Alexandre Vignaud, um físico que trabalha no projeto.
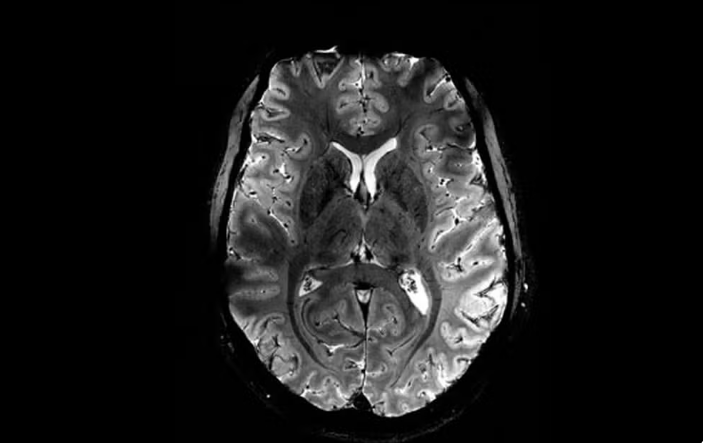
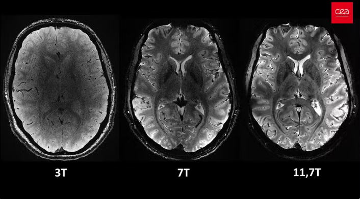
O campo magnético criado pelo scanner é de 11,7 teslas. Essa potência permite que a máquina escaneie imagens 10 vezes mais precisas do que os aparelhos normalmente utilizados em hospitais – cuja potência geralmente não supera os três teslas.
Em uma tela de computador, Vignaud comparou imagens tiradas por esse poderoso scanner, apelidado de Iseult, com imagens de uma ressonância magnética normal.
“Com essa máquina podemos ver os pequenos vasos que alimentam o córtex cerebral, ou detalhes do cérebro que eram quase invisíveis até agora”, detalha.
Estrutura da máquina
O aparelho é composto por um cilindro de cinco metros de largura e cinco de altura. Dentro dessa estrutura fica um ímã de 132 toneladas alimentado por uma bobina de 1.500 amperes. A abertura por onde o paciente entra é de 90 centímetros de largura.
A máquina é resultado de duas décadas de pesquisa de uma parceria entre engenheiros franceses e alemães.
Os Estados Unidos e a Coreia do Sul estão trabalhando em máquinas de ressonância igualmente potentes, mas ainda não começaram a escanear imagens de humanos.
Um dos principais objetivos do projeto é aprofundar a compreensão da anatomia do cérebro e entender quais áreas são ativadas quando se realiza determinadas tarefas.
Os cientistas já utilizaram os scanners de ressonância magnética para demonstrar que quando o cérebro reconhece coisas particulares, como rostos, lugares ou palavras, duas regiões do córtex cerebral são ativadas.
A potência de 11,7 teslas ajudará o Iseult a “compreender melhor a relação entre a estrutura do cérebro e as funções cognitivas, por exemplo, quando lemos um livro ou realizamos um cálculo mental”, disse Nicolas Boulant, diretor científico do projeto.
Aliado contra o Alzheimer
Os pesquisadores esperam que o poder do scanner também auxilie na investigação de doenças neurodegenerativas, como Parkinson ou Alzheimer, ou de problemas psicológicos, como depressão ou esquizofrenia.
“Por exemplo, sabemos que uma área específica do cérebro, o hipocampo, está envolvida na doença de Alzheimer, por isso esperamos poder descobrir como as células dessa parte do córtex cerebral funcionam”, disse a pesquisadora do CEA Anne-Isabelle Etienvre.
Os cientistas também pretendem mapear como certos medicamentos usados para tratar o transtorno bipolar, como o lítio, são distribuídos pelo cérebro.
O forte campo magnético criado pela ressonância magnética pode ajudar a identificar quais partes do cérebro são influenciadas pelo lítio. Essa ferramenta pode auxiliar na compreensão de quais pacientes devem responder melhor ou pior ao medicamento.
“Se pudermos entender melhor essas doenças muito prejudiciais, poderemos diagnosticá-las mais cedo e, portanto, tratá-las melhor”, disse Etienvre.
O Iseult ainda não dever ser utilizado em pacientes comuns nos próximos anos. Isso porque, segundo Boulant, o aparelho “não tem a intenção de se tornar uma ferramenta de diagnóstico clínico, mas esperamos que o conhecimento adquirido possa ser usado em hospitais”.
Um novo grupo de voluntários deve ser recrutado nos próximos meses para que seus cérebros sejam escaneados.
Fonte: Por France Presse e Publicado Por: Jornal Folha do Progresso em 02/04/2024/16:52:35
O formato de distribuição de notícias do Jornal Folha do Progresso pelo celular mudou. A partir de agora, as notícias chegarão diretamente pelo formato Comunidades, uma das inovações lançadas pelo WhatsApp. Não é preciso ser assinante para receber o serviço. Assim, o internauta pode ter, na palma da mão, matérias verificadas e com credibilidade. Para passar a receber as notícias do Jornal Folha do Progresso, clique no link abaixo e entre na comunidade:
* Clique aqui e acesse a comunidade do JORNAL FOLHA DO PROGRESSO
Apenas os administradores do grupo poderão mandar mensagens e saber quem são os integrantes da comunidade. Dessa forma, evitamos qualquer tipo de interação indevida. Sugestão de pauta enviar no e-mail:folhadoprogresso.jornal@gmail.com.
Envie vídeos, fotos e sugestões de pauta para a redação do JFP (JORNAL FOLHA DO PROGRESSO) Telefones: WhatsApp (93) 98404 6835– (93) 98117 7649.
“Informação publicada é informação pública. Porém, para chegar até você, um grupo de pessoas trabalhou para isso. Seja ético. Copiou? Informe a fonte.”
Publicado por Jornal Folha do Progresso, Fone para contato 93 981177649 (Tim) WhatsApp:-93- 984046835 (Claro) -Site: www.folhadoprogresso.com.br   e-mail:folhadoprogresso.jornal@gmail.com/ou e-mail: adeciopiran.blog@gmail.com






 
             
            